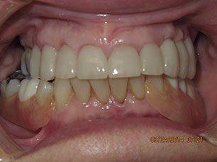
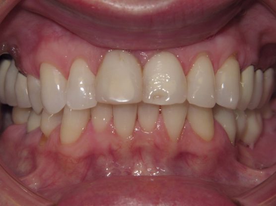
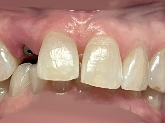
Smile Gallery
At Cornerstone Dental, our experienced dentists focus on providing our patients with treatments that meet their expectations with natural-looking results. With procedures such as porcelain dental veneers, teeth whitening, dental implants, and other advanced cosmetic and general dental care options, our goal is to effectively restore both form and function of your teeth and enhance the appearance of your smile.
The following before-and-after photographs will give you an idea of the exemplary skills embodied by our entire dental team by showing you the results of treatment in some of our patients. If you would like more information on the many cosmetic and restorative dentistry procedures we provide, please contact Cornerstone Dental.















































































































