Skip to main content
Cornerstone Dental Home
Cornerstone Dental
Cosmetic and Implant Dentistry
David M. DeGiralamo, MD, DMD
John D. Beckwith, DMD, Honored FAAID, FICOI, DABOI, FAGD
Home
Our Dental Team
About Us
Dr. David DeGiralamo
Dr. John D. Beckwith
Office Information
Office Information Overview
Sanitation and Safety Protocols
New Patient Forms
New Patient Experience
Our Hillsborough Office
Cornerstone Premier Dental Plan
Financing Options
Blog
News Room
Video Library
Dental Solutions
General & Preventative Dentistry
General & Preventative Dentistry Services
Family Dental Care
Advanced Periodontal Care
Oral-Conscious Sedation Dentistry
TMJ Treatments
Sleep Apnea
Laser Dentistry
Dental Implant Care & Tooth Replacement
Dental Implant Care & Tooth Replacement Services
Guided Implant Surgery
Single Tooth Implants
Implant-Supported Dentures
All-on-Four & All-on-Six Dental Implants
Choosing an Implant Dentist
Dental Implants Cost
Bone Grafting
Cosmetic & Restorative Dental Care
Cosmetic & Restorative Dental Care Services
Porcelain Veneers
OrthoFx
TM
Clear Aligners
Teeth Whitening
Porcelain Crowns
Cosmetic Bonding
Tooth-Colored Fillings
Smile Makeover
Smile Gallery
Patient Reviews
Video Testimonials
Contact
Request an Appointment
Schedule Online
Email Us/Location
Hillsborough
908-359-2121
Stay Connected
Schedule Appointment
New Patient Forms
Home
/
Gallery
/
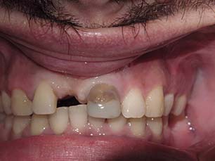
Patient 53
Previous
Patient 53
Next
Before
After
Dental Implant Case with a crown.